post-image
Lenka Vraná 0 Komentáře

Kalkulačka nákladů na zubní kámen a ústní zdraví

Nastavte parametry

Výsledek

Náklady na odstranění zubního kamene 800–1 500 Kč
Průměrné náklady na ztrátu jednoho zubu 15 000–30 000 Kč
Odhadované náklady na ztrátu zubů 0 Kč
Ušetřené peníze 0 Kč
Varování: Tato kalkulačka ukazuje pouze přibližné náklady. Přesné náklady závisejí na konkrétním případu a od poskytovatele zdravotního pojištění.

Zubní kámen pod dásní je jedna z nejčastějších příčin zánětů dásní, krvácení a dokonce ztráty zubů. Mnoho lidí si myslí, že když si čistí zuby a nepostřehne žádný nápadný nálež, je vše v pořádku. Ale právě pod dásní, tam, kde se nevidí, se kámen hromadí tiše a neústupně. A když se o něm dozvíte, už je často pozdě.

Co je to vlastně zubní kámen pod dásní?

Zubní kámen pod dásní, známý také jako subgingivální kámen, je tvrdý, vápenitý nálež, který vzniká z bakteriálního plaku, který se necháte na zubech. Když se plak neodstraní během 2-3 dnů, začíná mineralizovat. Pod dásní se tento proces odehrává ještě rychleji, protože tam je málo kyslíku a ideální prostředí pro bakterie. Kámen pod dásní není jen „špína“ - je to aktivní zdroj infekce, která postupně ničí kost kolem zubu a způsobuje parodontitidu.

Nejčastější příznaky? Krvácení při čištění, zvětšené dásně, zápach z úst, citlivost na studené nebo teplé, nebo dokonce pohybující se zuby. Ale důležité je: zubní kámen pod dásní často nezpůsobuje bolest. To je ten nejnebezpečnější trik. Nebojíš se, když nic necítíš? A právě proto je potřeba pravidelné kontroly u zubního lékaře.

Proč domácí metody nestačí?

Čistění zubů kartáčkem a nití je skvělé - ale nestačí. Kartáček se dotýká jen horní třetiny zubu. Nit může dojít k mezizubním prostorům, ale pod dásní se nedostane. Žádná ústní voda, žádná pastička, žádný „přírodní“ postup - ani nejdražší zubní kartáček - neodstraní kámen, který už ztvrdl.

Už jste zkoušeli čistit zuby citronem? Nebo sódou? Tyto metody mohou poškodit sklovinku, ale neodstraní kámen pod dásní. Kámen má tuhou strukturu - podobnou kamenu. Aby se odstranil, potřebuješ nástroj, který dokáže z něj získat mechanickou sílu, kterou nemáš v ruce. To umí jen zubní hygienička nebo lékař s ultrazvukovým skrabákem.

Jak se kámen odstraňuje u lékaře?

Profesionální odstranění zubního kamene pod dásní se nazývá skalpelování nebo parodontologická léčba. Proces je jednoduchý, ale nevážný.

  1. Nejprve lékař provede vyšetření - měří hloubku dásňových kapslí a zkoumá stav kosti pomocí rentgenového snímku.
  2. Poté použije ultrazvukový nástroj, který vydává vysokofrekvenční vlny. Ty rozpadají kámen na mikročástice a zároveň ho opláchnou proudem vody. Je to bezbolestné - jen pár třepání a zvuk, jako když se hladí kámen.
  3. Pokud je kámen hluboko pod dásní, může lékař použít i ruční nástroje (skalpely) - ale jen tam, kde ultrazvuk nedosáhne.
  4. Na konci se dásně vyhlazují, aby se zpomalilo opětovné usazování plaku.

Proces trvá 30-60 minut a obvykle je potřeba dvě návštěvy. Většina lidí necítí žádnou bolest, jen lehký tlak. Po léčbě můžeš cítit citlivost zubů na teplé nebo studené - to je normální a zmizí během několika dní.

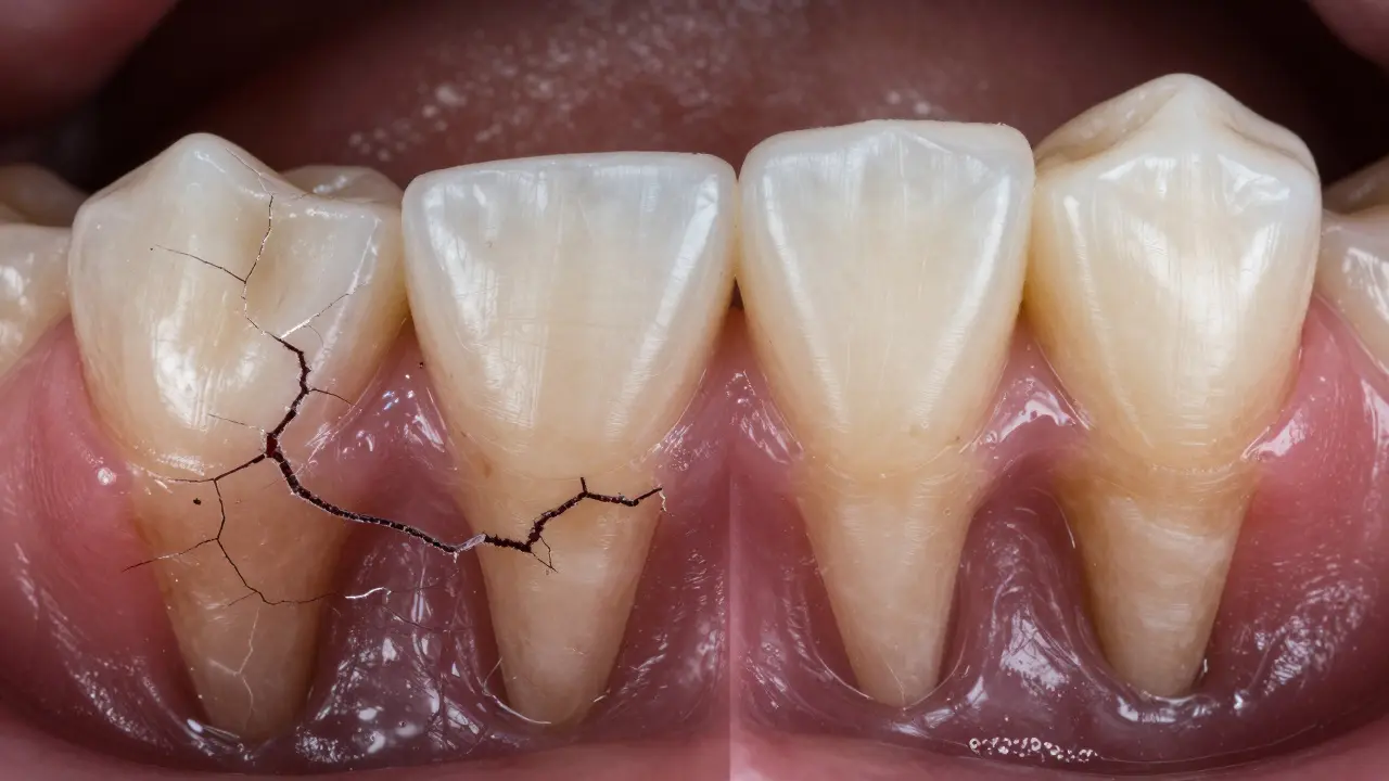
Skrytý zubní kámen a zánětlivé dásně pod povrchem, symbolizující neviditelnou hrozbu pro zuby.

Co dělat po odstranění?

Odstranění kamene je jen začátek. Pokud nezměníš svůj přístup k hygieně, kámen se vrátí za pár měsíců. A to je ten nejhorší trik - většina lidí si myslí, že „teď už je to v pořádku“ a přestane dávat pozor.

Tady je, co skutečně funguje:

  • Čistěte zuby dvakrát denně - ráno a večer. Nejen rychle, ale alespoň dvě minuty. Používejte kartáček s jemnými štětinami a měkkým návrhem.
  • Používejte nit denně - ne jen když vás něco napadne. Nit je klíč k odstranění plaku mezi zuby, kde kartáček nedosáhne.
  • Volte zubní pastu s fluoridem - ne s „přírodními“ přísadami, které nemají účinek. Fluorid posiluje sklovinku a brání tvorbě plaku.
  • Nezapomeňte na jazyk - bakterie se tam také hromadí. Používejte jazykový škrabák nebo jemně očistěte jazyk kartáčkem.
  • Navštěvujte zubního hygieničku každých 6-12 měsíců - i když nic nebojíte. Kontrola je levnější než léčba.

Co se stane, když to ignorujete?

Když zubní kámen pod dásní necháte, postupuje. Nejprve se dásně zčervenají a krvácí. Pak se začne odpojovat od zubu - vzniká tzv. dásňová kapsle. V té se hromadí bakterie, které ničí kost. Kost se rozpouští, zuby se uvolňují, a nakonec padají.

Nejhorší? Tento proces je nevratný. Kost, kterou ztratíte, se nevrátí. A ztráta zubů není jen estetický problém. Ovlivňuje vaši schopnost žvýkat, mluvit, a dokonce i tvář - když ztratíte více zubů, tvář se může „vrátit“ a vypadat starší.

Studie z Journal of Clinical Periodontology ukazují, že lidé, kteří nechávají zubní kámen bez léčby, mají 4x vyšší riziko ztráty zubů než ti, kteří se pravidelně starají o hygieny. A to je jen za 5 let.

Před a po: kámen pod dásní versus čisté, zdravé zuby po profesionální úpravě.

Je to drahé?

Odstranění zubního kamene pod dásní v České republice stojí obvykle 800-1 500 Kč. To závisí na rozsahu a na klinice. Většina zdravotních pojišťoven to pokrývá alespoň částečně - někdy dokonce kompletně. Stačí mít pravidelnou prevenci - a většina z nich to zaplatí.

Porovnejte to s náklady na ztrátu zubu: implantát může stát 15 000-30 000 Kč. A to je jen za jeden zub. A pak ještě potřebujete údržbu, pravidelné kontroly, možná i úpravy protézy. Když se zamyslíte, je odstranění kamene nejlevnější investice do vašeho úsměvu.

Co můžete dělat dnes?

Nečekáte na září? Nečekáte na bolest? Nečekáte na ztrátu zubu?

Proveďte tři kroky hned teď:

  1. Podívejte se do zrcadla - zkontrolujte, jestli vám dásně krvácí při čištění.
  2. Zavolejte svému zubnímu hygieničce - nechte si udělat kontrolu. Řekněte: „Chci zkontrolovat, jestli mám kámen pod dásní.“
  3. Upravte svůj denní režim - přidejte nit, přemýšlejte o čištění jazyku, a zrušte návyky, které zhoršují ústní hygienu (např. časté pití sladkých nápojů).

Úsměv není jen o bílých zubech. Je to o tom, že všechno, co je uvnitř, funguje. A když je dásně zdravé, zuby zůstanou na místě - i za 20 let.

Podobné příspěvky