Zubní péče v Jemnici – praktické tipy pro zdravý úsměv

Vítejte na našem portálu, kde najdete jednoduché rady, jak udržet zuby čisté a silné. Každý den se setkáváme s otázkami jako „Jak často měnit kartáček?“ nebo „Co dělat při citlivosti zubů?“ – odpovědi najdete hned zde.

Rychlé tipy pro každodenní hygienu

Správná technika čištění trvá jen dvě minuty. Použijte měkký kartáček, jemně krouživé pohyby a nezapomeňte čistit i mezizubní prostory. Úplně po jídle opláchněte ústa vodou a jednou týdně použijte dentální nit.

Co dělat, když se objeví problém

Bolest při žvýkání, krvácení dásní nebo bílá skvrna po kurkumě – to jsou signály, že je čas navštívit zubaře. Mezitím můžete použít úlevové gely proti citlivosti a vyhnout se kyselým nápojům.

Na našem webu najdete i podrobnější články o bělení, ortodoncii, implantátech a péči o dětské zuby. Prohlédněte si sekce, vyberte téma, které vás zajímá, a začněte pečovat o úsměv už dnes.

Jak zvládnout dovolenou s gumičkami na rovnátka: praktické tipy pro bezstarostný odpočinek 24 března 2026

Jak zvládnout dovolenou s gumičkami na rovnátka: praktické tipy pro bezstarostný odpočinek

Lenka Vraná 0 Komentáře

Jak zvládnout dovolenou s gumičkami na rovnátka bez stresu? Praktické tipy pro bezpečný odpočinek, co jíst, co si vzít a co dělat, když vám gumička spadne. Vše, co potřebujete vědět.

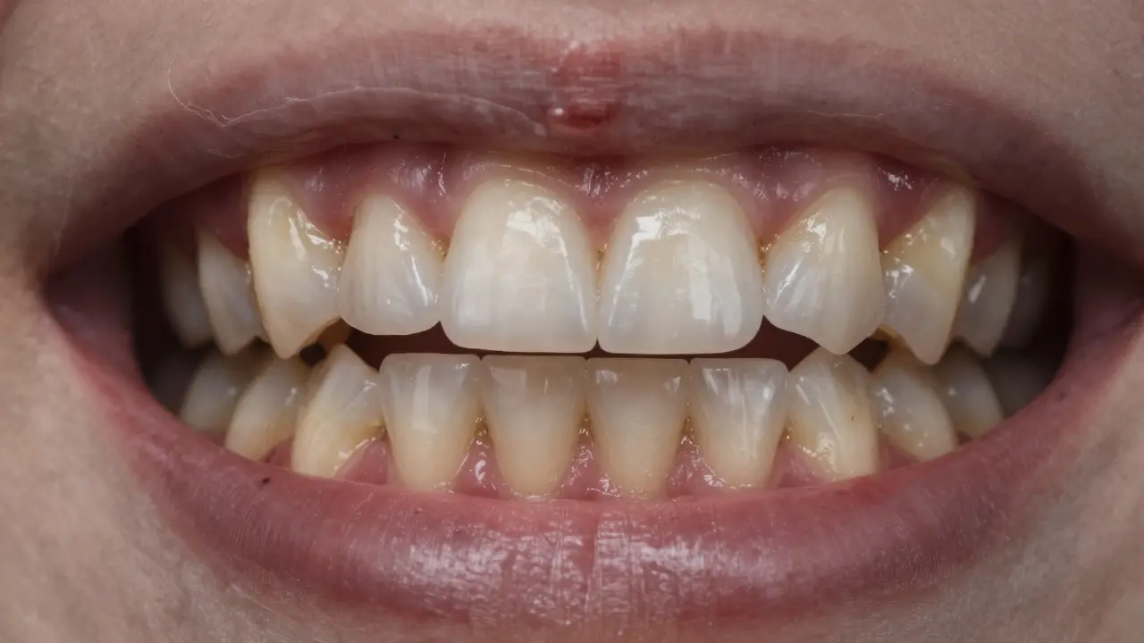
Jak vypadá zdravý chrup? Vše, co potřebujete vědět o přirozené struktuře zubů 23 března 2026

Jak vypadá zdravý chrup? Vše, co potřebujete vědět o přirozené struktuře zubů

Lenka Vraná 0 Komentáře

Zdravý chrup není jen o bílých zubech. Je to systém pevných, funkčních a bezbolestných zubů s čistými dásněmi. Zjistěte, co opravdu znamená zdravý chrup a proč zubní fazety nejsou řešením pro poškozený zubní systém.

Jak zvládnout sport s gumičkami na rovnátka bez bolesti a zbytečného rizika 22 března 2026

Jak zvládnout sport s gumičkami na rovnátka bez bolesti a zbytečného rizika

Lenka Vraná 0 Komentáře

Sport s gumičkami na rovnátka je možný a dokonce doporučený. Stačí dodržovat pár zásad - používat ochranný štít, dbát na čistotu a vybírat vhodné aktivity. Více než 15 % pacientů dosahuje rychlejších výsledků díky pravidelnému pohybu.

Jakou pastu na odhalené krčky? Nejlepší volby a co skutečně funguje 21 března 2026

Jakou pastu na odhalené krčky? Nejlepší volby a co skutečně funguje

Lenka Vraná 0 Komentáře

Odhalené krčky nejsou jen estetický problém - to je varovný signál. Více než 60 % lidí nad 40 let má tento stav, ale většina používá špatnou pastu. Zjisti, jakou pastu skutečně pomůže a co se stane, když použiješ bělící. Více než 4 týdny čekání může znamenat trvalé poškození.

Kolik stojí bílá zubní plomba v roce 2026? Cena, faktory a co si pamatovat 20 března 2026

Kolik stojí bílá zubní plomba v roce 2026? Cena, faktory a co si pamatovat

Lenka Vraná 0 Komentáře

Bílá zubní plomba v roce 2026 stojí od 1 200 do 3 500 Kč, ale cena závisí na kvalitě materiálu, velikosti dutiny a zkušenosti lékaře. Zjistěte, co ovlivňuje cenu, jak dlouho plomba vydrží a jak ji správně vybrat.

Bělící zubní pasta: Průvodce pro spotřebitele 19 března 2026

Bělící zubní pasta: Průvodce pro spotřebitele

Lenka Vraná 0 Komentáře

Bělící zubní pasta nezbělí zuby jako lékař, ale odstraňuje povrchové skvrny. Zjistěte, jak funguje, když pomáhá a kdy může ublížit. Co hledat v složení a jak ji správně používat.

Jak na správné používání mezizubních kartáčků: krok za krokem pro čistší zuby a zdravé dásně 18 března 2026

Jak na správné používání mezizubních kartáčků: krok za krokem pro čistší zuby a zdravé dásně

Lenka Vraná 0 Komentáře

Správné používání mezizubních kartáčků zabrání zánětům dásní a ztrátě zubů. Zjisti, jak vybrat správnou velikost, jak je používat bez škody a kdy přijít k zubaři. Pravidelné čištění mezery mezi zuby je klíčem k dlouhodobému zdraví úst.

Jak vyčistit fixní rovnátka: praktický průvodce pro každodenní péči 17 března 2026

Jak vyčistit fixní rovnátka: praktický průvodce pro každodenní péči

Lenka Vraná 0 Komentáře

Zjistěte, jak správně vyčistit fixní rovnátka, aby jste předešli bílým skvrnám, zánětu dásní a ztrátě zubní sklovině. Praktický návod s kroky, nástroji a chybami, které byste měli vyhnout.

Jak zastavit počínající kaz mezi zuby - praktické kroky, které skutečně fungují 16 března 2026

Jak zastavit počínající kaz mezi zuby - praktické kroky, které skutečně fungují

Lenka Vraná 0 Komentáře

Počínající kaz mezi zuby lze zastavit bez vrtání - stačí pravidelná péče, fluoridová pasta a mezizubní nit. Zjistěte, jakými kroky zastavíte kaz ještě předtím, než začne bolet.

Jak dlouho vydrží plomby a co na to ovlivňuje? 15 března 2026

Jak dlouho vydrží plomby a co na to ovlivňuje?

Lenka Vraná 0 Komentáře

Plomby nevydrží věčně. Záleží na jejich umístění, vašich návycích a kvalitě vložení. Bílé kompozitní plomby obvykle vydrží 7-12 let, ale s dobrou hygienou a pravidelnými prohlídkami mohou překročit 20 let. Co dělat, když plomba začne selhávat?