post-image
Lenka Vraná 0 Komentáře

Kalkulačka nákladů na dentální hygienu

Vypočítejte přibližné náklady na dentální hygienu

Kalkulace je založena na průměrných cenách zobrazených v článku. Skutečné náklady se mohou mírně lišit podle kliniky a specifického postupu.

0 Kč
Přibližné náklady pro zvolené parametry

Uvědomte si: V ČR se cena jedné návštěvy dentální hygieny pohybuje mezi 600 až 1 200 Kč. Ve městech jako Brno nebo Praha jsou ceny obvykle na vyšší straně.

Tip: Některé pojišťovny hradí část nákladů, pokud máte základní pojištění. Doporučujeme se předem zeptat na konkrétní cenu v dané ordinaci.

Dentální hygiena je profesionální postup, který zahrnuje odstranění zubního kamene a plaku, polírování zubů a poradenství k prevenci problémů. Tato procedura provádí specialista - zubní hygienistka nebo zubní lékař. Mnoho lidí si myslí, že stačí pečlivě čistit zuby doma. Ale bez pravidelné návštěvy hygienistky se nedá dosáhnout skutečně zdravého a bílého úsměvu.

Co zahrnuje dentální hygiena?

Dentální hygiena není jen o čištění zubů. Je to komplexní postup, který zahrnuje:

  • Odstranění zubního kamene pomocí ultrazvuku nebo ručních nástrojů
  • Odstranění měkkého plaku, který se na zubech tvoří každý den
  • Polírování zubů pro odstranění povrchových skvrn a získání lesku
  • Poradenství ohledně správné domácí hygieny a výběru vhodných produktů

Ultrazvukové čištění je bezbolestné a odstraňuje i tvrdý kámen, který doma nelze odstranit. Polírování pak zubům vrátí přirozený lesk a zabraňuje rychlému hromadění nového plaku.

Jak dentální hygiena ovlivňuje vzhled vašich zubů?

Spousta lidí si myslí, že bělení zubů je jediný způsob, jak dosáhnout bílého úsměvu. Ale pravda je, že před samotným bělením je nutné provést profesionální čištění. Proč? Protože zubní kámen a plak brání účinku bělicích látek. Když je povrch zubů čistý, bělení funguje lépe a výsledky jsou trvalejší. Navíc, bez pravidelné hygieny se mohou objevit skvrny, které bělení nedokáže odstranit. Například kouření nebo časté pití kávy způsobuje tmavé skvrny, které se bez předchozího čištění neodstraní.

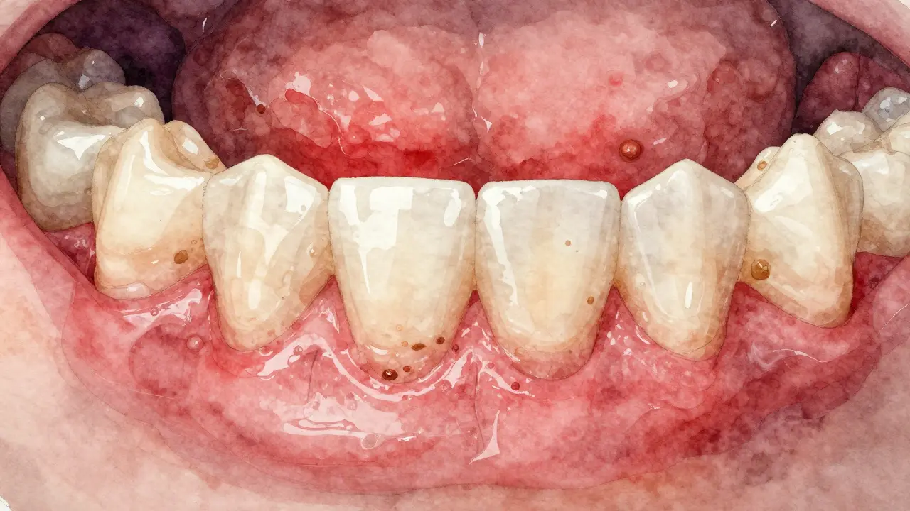
Zubní kámen a zánět dásní na blízkém zubním detailu.

Co se stane, když nechodíte na dentální hygienu?

Když zanedbáváte pravidelné návštěvy zubního hygienistky, hrozí vážné problémy. zubní kámen se postupně tvoří a způsobuje zánět dásní - parodontitidu. Ta může vést k úbytku kosti kolem zubů a nakonec k jejich ztrátě. Navíc, zubní kámen a plak způsobují žloutnutí zubů, protože jsou schopny absorbovat barviva z potravy a nápojů. Takže bez hygieny se vaše zuby nejen zhorší z hlediska zdraví, ale také vzhledu. Podle studie České stomatologické společnosti má 65 % dospělých v ČR příznaky počáteční parodontitidy kvůli zanedbávání hygieny.

Jak často byste měli chodit na dentální hygienu?

Obecně se doporučuje navštěvovat zubní hygienistku každých šest měsíců. Ale pro lidi s vysokým rizikem - například kouřící, ti, kteří mají tendenci k rychlému tvorbě zubního kamene, nebo pacienti s předchozími problémy s dásněmi - je vhodné chodit každých tři až čtyři měsíce. To zabraňuje hromadění kamene a udržuje dásně zdravé. V Brně má například 78 % pacientů, kteří chodí na hygienické návštěvy každých 6 měsíců, méně problémů s kamenem než ti, kteří chodí jen jednou za dva roky.

Čištění mezizubních prostor nití v koupelně

Nejčastější mýty o dentální hygieně

Mnoho lidí má o dentální hygieně nesprávná představy. Například:

  • Mýtus: "Domácí čištění stačí." - Pravda: Bez profesionálního čištění zubní kámen zůstává, protože ho doma nelze odstranit. Ultrazvukové čištění je jediný způsob, jak odstranit tvrdý kámen.
  • Mýtus: "Bělení zubů nahradí hygienickou návštěvu." - Pravda: Bělení bez předchozí hygieny je méně účinné a může způsobit nerovnoměrné výsledky. Například, když je na zubech kámen, bělicí gel nerovnoměrně působí.
  • Mýtus: "Profesionální čištění poškozuje zubní sklovinku." - Pravda: Moderní metody jsou bezpečné a nezpůsobují poškození, naopak chrání zuby před kamenem. Zubní hygienistka používá jemné nástroje, které neovlivňují sklovinku.

Jak udržet bílé zuby mezi návštěvami?

Mezi návštěvami hygienistky můžete dělat něco pro svůj úsměv:

  • Používejte zubní pastu s fluoridem a jemným abrasivem, která odstraňuje povrchové skvrny. Například pasty s oxidem křemičitým jsou bezpečné pro každodenní použití.
  • Vyhněte se barvivým nápojům jako káva, čaj nebo červené víno. Pokud je pijete, používejte slámku, aby se barviva co nejméně dotýkala zubů.
  • Pravidelně používejte nitě pro zuby, abyste odstranili plak mezi zuby. Mezi zuby se tvoří až 40 % plaku, kterého se domácí kartáček nedotkne.
  • Čistěte jazyk každý den, protože na něm se tvoří bakterie, které způsobují zápach a skvrny. Speciální čističky pro jazyk jsou efektivnější než kartáček.

Pravidelná dentální hygiena je klíčová pro udržení zdravých a bílých zubů. Nejen zlepšuje vzhled, ale také předchází vážným zubním chorobám. Každá návštěva hygienistky je investice do vašeho zdraví i sebevědomí.

Kolik stojí jedna návštěva dentální hygieny v ČR?

Cena jedné návštěvy dentální hygieny v České republice se pohybuje mezi 600 a 1 200 korunami, záleží na regionu a klinice. Ve městech jako Brno nebo Praha jsou ceny obvykle na vyšší straně. Některé pojišťovny hradí část nákladů, pokud máte základní pojištění. Doporučujeme se předem zeptat na konkrétní cenu v dané ordinaci.

Může dentální hygiena způsobit citlivost zubů?

Profesionální čištění může dočasně způsobit citlivost zubů, ale pouze u lidí s již existující citlivostí nebo poškozenou sklovinkou. Tato citlivost obvykle odezní do 48 hodin. Hygienistka může před čištěním aplikovat citlivostní gel nebo doporučit speciální pastu pro citlivé zuby. Pokud máte stálou citlivost, je důležité to prozkoumat s lékařem.

Je dentální hygiena bezpečná pro osoby s implantáty?

Ano, dentální hygiena je nejen bezpečná, ale pro osoby s implantáty nezbytná. Zubní hygienistka používá speciální nástroje, které nepoškozují implantáty. Pravidelné čištění předchází zánětu kolem implantátů (periimplantitidě), který může vést k jejich ztrátě. Doporučujeme chodit na hygienické návštěvy každých 3 měsíce, pokud máte implantáty.

Proč je důležité čistit zuby po jídle?

Po jídle se na zubech tvoří plak, který obsahuje bakterie. Tyto bakterie přeměňují zbytky potravy na kyselinu, která poškozuje sklovinku a způsobuje kazy. Čištění zubů do 30 minut po jídle odstraní plak předtím, než způsobí trvalé poškození. Pokud nemůžete čistit zuby ihned, zakašlejte vodu nebo žvýkejte bezcukrové žvýkačky, které stimulují slinné žlázy a neutralizují kyselinu.

Může dentální hygiena odstranit skvrny od kávy?

Ano, profesionální čištění odstraní většinu povrchových skvrn od kávy, čaje nebo tabáku. Ale pokud jsou skvrny již vniklé do sklovinky (vnitřní barvení), je třeba použít speciální bělicí proceduru. Hygienistka vždy nejprve odstraní povrchový plak a kámen, aby bělení bylo efektivnější. Bez předchozí hygieny by bělení nedosáhlo žádoucích výsledků.

Podobné příspěvky