post-image
Lenka Vraná 0 Komentáře

Doporučení na pastu pro odhalené krčky

Vyberte své preferencí

Vaše doporučení

Klíčové vlastnosti
    Detailní porovnání
    Název RDA Fluorid Odpor proti citlivosti Cena (CZK)
    Upozornění: Doporučujeme, abyste pastu používali 2x denně a nečeštili zuby agresivně. Pokud citlivost nezmizí po 4-6 týdnech, navštivte stomatologa.

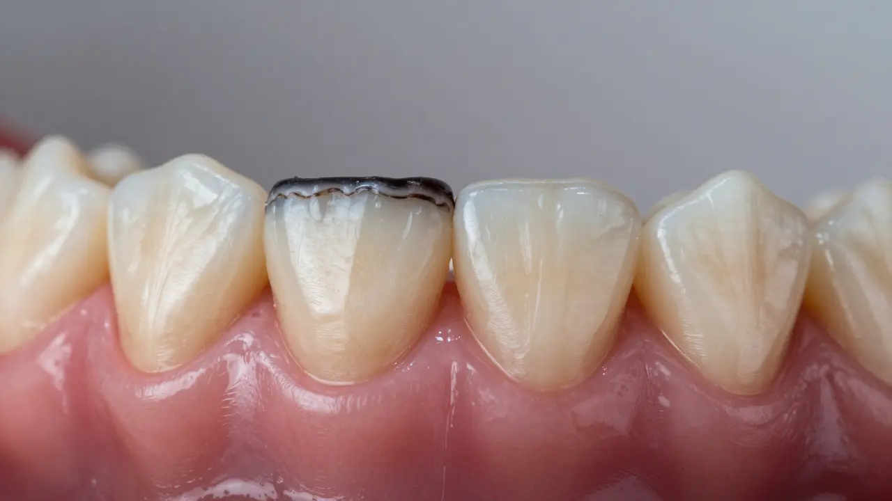
    Bělící pasty na odhalené krčky nejsou jen další produkt na regálu. Jsou to vlastně zbraně, které můžou buď pomoci, nebo zhoršit situaci. Když se tvé zuby začnou zdát delší - když už vidíš ten tmavý, často zvlněný okraj u základu zubu - nejde jen o estetiku. Jde o zápal, citlivost, a možná i očekávaný začátek ztráty tkání. A většina bělících past, které se prodávají jako „nejsilnější na zubní kámen“, je pro tuto situaci úplně špatná volba.

    Proč bělící pasta může být nebezpečná pro odhalené krčky?

    Odhalené krčky nejsou zubní sklovina. Jsou to kmeny, které byly chráněny dásněmi, ale ty dásně se vrací zpět. Když se dásně stáhnou, zůstává pod nimi tenká vrstva cementu - mnohem měkčí než sklovina. A právě tato vrstva je ta, která se nejvíc barví, nejvíc citlivě reaguje na teploty a nejvíc se bojí abrazivních látek.

    Většina bělících past obsahuje silné abrazivní činidla jako je křemičitan sodný nebo uhličitan vápenatý. Tyto látky jsou navržené tak, aby „odstranily“ zubní kámen a povrchové skvrny. Ale když je použiješ na odhalený krček, neodstraníš jen skvrnu - odškrábeš ten tenký cement. A to je nevratné. Výsledek? Více citlivosti, víc zbarvení, víc zubního kameně. A nejhorší část? Nevidíš to hned. Zkusíš pastu týden, pak měsíc, a najednou ti zuby začnou „pálit“ na studenou vodu. A už to nejde vrátit zpět.

    Co opravdu funguje: 3 klíčové vlastnosti hledané pasty

    Nechceš bělící pastu. Chceš pastu, která:

    1. Zabraňuje dalšímu stahování dásní - pomocí látek, které posilují tkáň a zmenšují zánět.
    2. Uklidňuje citlivost - pomocí účinných látek, které blokují signály z nervů v zubním kmeni.
    3. Je jemná - bez agresivních abraziv, které by ještě více poškodily kmen.

    Tyto tři věci spolu fungují. A když je najdeš, začneš vidět rozdíl. Ne hned. Ale za 4-6 týdnů.

    Které látky hledat v ingrediencích?

    Nechceš složitý seznam chemických názvů. Chceš jasná jména. Tady jsou tři klíčové látky, které opravdu fungují:

    • Arginin - přírodní aminokyselina, která se nachází v některých pastách jako Colgate Sensitive Pro-Relief. Zvyšuje pH v ústech, což způsobuje, že kyselé potraviny a nápoje nezničí kmen tak rychle. Navíc pomáhá uzavřít mikrokanálky v kmeni, což zmenšuje citlivost.
    • Fluorid stanný (SnF₂) - najdeš ho v Sensodyne Repair & Protect. Tato forma fluoridu nejen posiluje sklovinu, ale vzdušňuje cement - tedy zpevňuje ten nejtenčí a nejranitější vrstvy. Je to jediná látka, která je klinicky dokázána, že pomáhá regenerovat odhalené krčky.
    • Hydroxid vápenatý - přítomný v Zendium Sensitive. Zvyšuje tvrdost povrchu kmeně a zároveň má mírné antibakteriální účinky. Neodstraňuje zubní kámen - ale zabraňuje jeho vzniku.

    Co vynechat? Všechno, co obsahuje „whitening“, „deep clean“, „power scrub“ nebo „active charcoal“. Tyto výrazy jsou často kód pro agresivní abrazivní látky. A pro odhalené krčky to je jako používat brusný papír na sklo.

    Tři pasty pro citlivé zuby s hlavními účinnými látkami na dřevěném povrchu, mírné osvětlení, bez logotypů.

    Porovnání nejlepších past pro odhalené krčky

    Porovnání nejlepších past pro odhalené krčky
    Název Hlavní účinná látka Abrazivita (RDA) Fluorid Odpor proti citlivosti Cena za 100 g (CZK)
    Sensodyne Repair & Protect Fluorid stanný 120 Ano Velmi vysoká 189
    Colgate Sensitive Pro-Relief Arginin 110 Ano Vysoká 175
    Zendium Sensitive Hydroxid vápenatý 95 Ano Vysoká 165
    Oral-B Pro-Health Sensitive Fluorid sodný + potas 130 Ano Střední 155
    Colgate Optic White Křemičitan sodný 160 Ano Nízká 140

    Co vidíš? Sensodyne Repair & Protect má nejnižší abrazivitu pro svou účinnost a je jediná, která má klinický důkaz regenerace. Colgate Pro-Relief je rychlejší v uklidnění citlivosti. Zendium je nejjemnější - ideální pro nejcitlivější krčky.

    Co dělat, když už máš citlivé zuby?

    Než začneš používat novou pastu, udělej to:

    1. Zruš bělící pastu - hned. Nečekáš na to, až skočíš do lékárny. Zruš ji dnes.
    2. Používej pastu jen dvakrát denně - ne více. Více četnost neznamená větší účinek - jen větší poškození.
    3. Nečištěj zuby agresivně - používej jemný zubní kartáček s měkkými štětinami. Drž ho pod úhlem 45 stupňů, ne tlač na dásně.
    4. Nečištěj hned po jídle - když jíš nebo piješ kyselé (limonáda, víno, ovocné šťávy), zubní kmen je dočasně měkčí. Čištění hned poté způsobí více poškození než užitek. Počkej 30 minut.
    5. Používej fluoridový rtyš - každý den po čištění. Rtyš s fluoridem, který neobsahuje alkohol a má nízkou abrazivitu, pomůže zpevnit kmeny.
    Jemný kartáček v úhlu 45 stupňů na odhalený krček, s mikroskopickým zobrazením tvrdnutí cementu, bez agresivních látek.

    Co když to nepomůže?

    Když po 6 týdnech používání správné pasty stále máš:

    • citlivost na studené nebo teplé
    • viditelné tmavé nebo žluté oblasti u základu zubů
    • bolest při štětci

    - jdeš k stomatologovi. Ne k lékárníkovi. Ne k Instagramovému „dentistovi“.

    Možná potřebuješ:

    • Plnění na krčky - jemné, průhledné plnění, které zakryje odhalenou oblast a zamezí dalšímu zbarvení.
    • Chirurgické zasévání dásní - když je stahování příliš vysoké, můžeš se vrátit k původnímu tvaru dásní.
    • Profesionální zásahy - jako např. aplikace fluoridového gelu nebo laserové léčby, které zpevňují kmeny zevnitř.

    Nečekání není řešení. Každý měsíc, kdy nečiníš nic, ztrácíš další 0,5-1 mm kmenové tkáně. A to se už nevrátí.

    Nejčastější otázky

    Můžu používat bělící pastu, pokud mám odhalené krčky, ale jen občas?

    Ne. I jednou týdně se abrazivní látky hromadí. Každé použití způsobí mikropoškození cementu. To se nevidí, ale postupně to způsobí, že kmeny budou ještě citlivější a tmavší. Neexistuje bezpečná „občasná“ verze - buď používáš pastu určenou pro citlivé zuby, nebo ne.

    Je lepší bělící past nebo past pro citlivé zuby, když mám zubní kámen?

    Zubní kámen se neodstraní pastou. Ani nejlepší bělící pasta. Kámen se odstraní jen profesionálním čištěním u zubního hygienistky. Pokud máš kámen a odhalené krčky, nejprve nech zubní kámen odstranit - a pak teprve začni používat pastu pro citlivé zuby. Jinak jen vytlačíš kámen hlouběji do dásně, což zhorší zánět.

    Můžu používat bělící pastu a pastu pro citlivé zuby zároveň?

    Ne. Kombinace způsobí, že abrazivní látka z bělící pasty převáží účinky látek, které mají zpevňovat kmeny. Výsledek? Ztráta kmenové tkáně. Pokud chceš bělit, zkus profesionální bělení u stomatologa - tam se používají bezpečné koncentrace, které neohrožují odhalené krčky.

    Proč se odhalené krčky zbarvují? Není to jen špína?

    Ne. Když se dásně stáhnou, kmeny jsou přímo v kontaktu s kyselinami z jídla a nápojů. Tyto kyseliny způsobují, že cement začne reagovat s barvivky - např. z čaje, červeného vína nebo kávy. Toto zbarvení není povrchové. Je to základní změna struktury cementu. Bělící pasty to neodstraní - jen ho zhorší.

    Je některá z těchto past dostupná v Česku bez receptu?

    Ano. Všechny uvedené pasty - Sensodyne Repair & Protect, Colgate Sensitive Pro-Relief, Zendium Sensitive - jsou dostupné v každé lékárně v Česku bez receptu. Stačí vyhledat „past pro citlivé zuby“ a podívat se na ingrediencí. Pokud tam není fluorid stanný, arginin nebo hydroxid vápenatý, není to ta správná.

    Co dělat dál?

    Nejde jen o pastu. Jde o to, abys přestal vnímat odhalené krčky jako „pouze estetický problém“. Jsou to varovný signál. Tělo ti říká: „Pozor, ztrácím ochranu.“

    Začni dnes:

    • Vyměň pastu za jednu z těch, které jsou v tabulce.
    • Zruš bělící pastu - hned.
    • Udělej si záznam: „Když jsem začal používat novou pastu?“ - a pak se podívej, jak se to změní za 4 týdny.

    Nejde o to, aby zuby byly bílé. Jde o to, aby zůstaly celé. A tohle je nejlepší šance, kterou máš - ještě předtím, než budeš potřebovat zákrok.

    Podobné příspěvky