post-image
Lenka Vraná 0 Komentáře

Nástroj pro hodnocení rizika zubní erze

Hodnotte své návyky

Vegetariáni často předpokládají, že jejich strava je automaticky lepší pro zuby. Ale skutečnost je složitější. Pokud jíte hodně ovoce, sušenek, oříšků, celozrnných potravin a kvasnicových produktů, vaše zuby mohou být vystaveny jinému druhu poškození než u lidí, kteří jedí maso. Nejčastější problém není zubní kazy, ale zubní erze - postupné měkknutí a opotřebení skloviny díky kyselosti.

Proč vegetariánská strava poškozuje zuby jinak než masná?

Nejde o to, že by vegetariáni měli horší zuby. Ale jejich strava obsahuje více přírodních kyselin a cukrů, které se v zubech ukládají jinak. Ovoce jako citrony, ananas, jahody nebo čerstvé ovoce v jogurtech obsahuje citronovou, jablkovou nebo ovocnou kyselinu. Tyto kyseliny nejsou škodlivé samotné, ale když je jíte často a bez přestávek, sklovina se nezotaví. Výsledek? Zuby se mohou stát citlivějšími, ztrácet lesk a začít vypadat tenčí.

Vegetariáni také často jedí více sušeného ovoce - datle, rozinky, meruňky. Tyto potraviny jsou výborné pro energii, ale přilehají k zubům jako lepidlo. Bakterie v ústech je přeměňují na kyselinu, která rozežírá sklovinu. To je stejný mechanismus jako u cukrovinek, jen je to lépe maskované jako „zdravá volba“.

Co se děje s vašimi zuby, když jíte mnoho celozrnných potravin?

Celozrnné chleby, rýže, ovesné vločky a quinoa jsou skvělé pro trávení a cholesterol. Ale obsahují fytkovou kyselinu - přirozenou látku, která se vyskytuje v zrnech a bóbách. Fytková kyselina se váže na minerály jako vápník a fosfor, které by jinak chránily zuby. Když jíte mnoho celozrnných potravin bez přípravy, může to vést k tomu, že vaše zuby nemají dostatek minerálů na samoregeneraci.

Naštěstí je to řešitelné. Zavařování, kvašení nebo namáčení celozrnných potravin před vařením snižuje obsah fytkové kyseliny o až 60 %. Pokud jíte ovesné vločky, zvařte je v teplé vodě celou noc. To je jednodušší, než si myslíte, a zuby vám to díky tomu podědí.

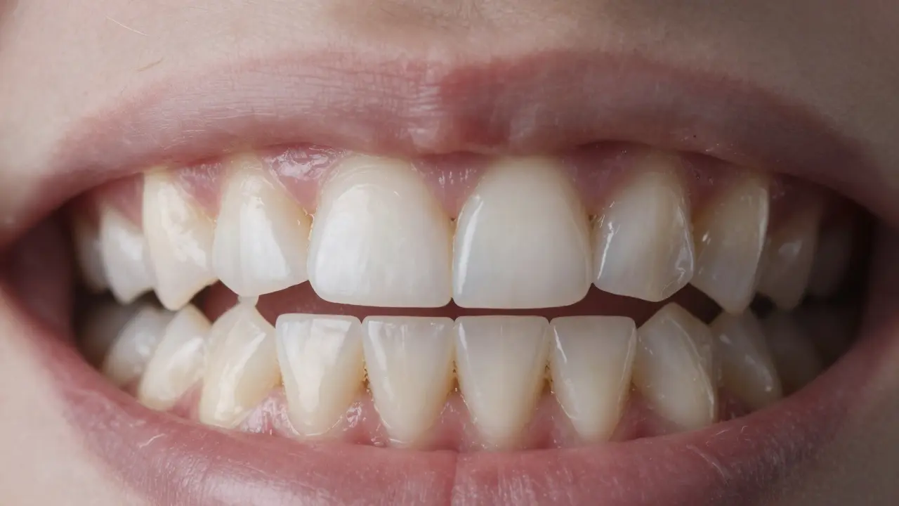
Nejčastější typy poškození u vegetariánů

  • Zubní erze - nejčastější. Vypadá jako hladké, lesklé plochy na špičkách zubů nebo na bocích předních zubů. Zuby se mohou stát citlivějšími na studené nebo teplé nápoje.
  • Opotřebení zubů - když jíte hodně tvrdých oříšků, sušenek nebo syrového zeleniny, může dojít k mechanickému opotřebení. Zuby se mohou zkracovat nebo zploštit.
  • Karoty - vznikají hlavně u těch, kteří často snídají ovoce nebo pijií ovocné šťávy. Kyselina a cukr společně vytvářejí ideální prostředí pro bakterie.
  • Ztráta minerálů - zuby se mohou zdát „příliš bílé“ nebo mít průhledné okraje. To znamená, že sklovina je tenčí a pod ní se ukazuje dentin.
Vegetariánská strava s kyselými potravinami, které postupně erodují sklovinu zubů.

Které zuby jsou nejvíce ohrožené?

Nejvíce trpí přední zuby - ty, které vidíte, když se usměváte. Jsou první, které přijímají kyseliny z jídla a nápojů. Dále trpí čelistní zuby, kde se kyselina ukládá, když se jíte ovoce nebo zeleninu. Pokud máte zuby s hlubokými brázdami (např. moláry), může se tam hromadit potrava a způsobovat kazy, i když jste vegetarián.

Ve srovnání s masnou stravou, kde se kazy častěji vyskytují v mezích zubů, u vegetariánů se poškození vyskytuje spíše na povrchu zubů - na špičkách, na bocích a u základu. To znamená, že když jste na návštěvě u zubaře, nebudete mít jen kazy, ale i zubní erzi, kterou mnoho lidí přehlíží.

Co můžete dělat, abyste chránili zuby?

  1. Nepijte ovocné šťávy nebo kvasnicové nápoje jako náhradu za vodu. Pokud pijiíte šťávu, používejte sirup a pijejte ji rychle, ne hladovějte. Nechávejte ji v ústech.
  2. Čistěte zuby alespoň dvakrát denně, ale ne hned po jídle. Kyselina po jídle měkkne sklovinu. Čištění hned po jídle ji ještě více poškodí. Počkejte 30 minut, pak si zuby očistěte.
  3. Používejte zubní pastu s fluoridem. Fluorid pomáhá zubům obnovovat minerály. Nejde o to, kolik pasty použijete, ale o to, jak často ji používáte.
  4. Pijte vodu po každém jídle. Voda vypláchně kyselinu z úst. Je to nejjednodušší a nejlevnější ochrana.
  5. Uvědomte si, že „zdravé“ potraviny mohou být škodlivé. Sušené ovoce, smoothie, granola a vegetariánské tyčinky nejsou automaticky dobré pro zuby. Přečtěte si složení a hledejte přidaný cukr.
Osoba pláchnoucí ústa vodou po jídle, s viditelným efektem ochrany zubů.

Co říkají výzkumy?

Výzkum z roku 2023 publikovaný v Journal of Clinical Periodontology sledoval 1 200 vegetariánů a 800 nevegetariánů. Vegetariáni měli o 30 % více případů zubní erze, ale o 20 % méně kázů. To znamená, že jejich strava je méně kariogenní, ale více erodující. Největší riziko měli ti, kteří jeli více než tři porce ovoce denně a nepili dostatek vody.

Ve srovnání s masnou stravou, kde se kazy častěji vyskytují v mezích zubů, u vegetariánů se poškození vyskytuje spíše na povrchu zubů - na špičkách, na bocích a u základu. To znamená, že když jste na návštěvě u zubaře, nebudete mít jen kazy, ale i zubní erzi, kterou mnoho lidí přehlíží.

Když jste vegetarián, neznamená to, že jste „zubní superhrdina“

Vegetariánská strava je skvělá pro životní styl, životní prostředí a zdraví srdce. Ale zuby nejsou vyjímka. Pokud si nevšímate, jak často jíte kyselé nebo lepkavé potraviny, vaše zuby budou platit za vaši „zdravou“ volbu.

Nejde o to, abyste přestali jíst ovoce nebo oříšky. Jde o to, abyste je jeli s hlavou. Pijte vodu. Čistěte zuby včas. A nechte si zuby prohlédnout u zubaře každých 6 měsíců. Nejde o to, kolik kázů máte. Jde o to, jestli vaše zuby stále vypadají silně a zdravě.

Je pravda, že vegetariáni mají méně zubních kazů?

Ano, většina studií ukazuje, že vegetariáni mají o 15-25 % méně zubních kazů než nevegetariáni. To je důsledkem nižšího příjmu cukru a zpracovaných potravin. Ale tato výhoda se často kompenzuje vyšším rizikem zubní erze kvůli kyselým potravinám.

Může vegetariánská strava způsobit ztrátu zubů?

Nepřímo ano. Pokud se zubní erze nezachytí včas, sklovina se vytírá až k dentinu. To způsobuje citlivost, bolest a zvýšené riziko zlomení zubu. V extrémních případech může dojít ke ztrátě zubu, pokud se nezachytí včas.

Je lepší jíst surové nebo vařené zeleniny pro zuby?

Vařené zeleniny jsou pro zuby bezpečnější. Surové zeleniny jako mrkev nebo řepa mohou být příliš tvrdé a způsobovat mechanické poškození. Vaření snižuje tvrdost a zvyšuje vstřebávání minerálů. Nejde o to, abyste jeli jen vařenou zeleninu, ale o vyvážený přístup.

Jaká zubní pasta je nejlepší pro vegetariány?

Hledejte pastu s fluoridem a bez kyseliny (např. citronové nebo jablečné příchutě). Některé „přírodní“ pasty nemají fluorid a nejsou pro vegetariány vhodné. Fluorid pomáhá zubům obnovovat minerály, které kyselina odnáší.

Může vegetariánská strava ovlivnit vývoj zubů u dětí?

Ano, pokud není strava vyvážená. Děti potřebují dostatek vápníku, fosforu a vitamínu D pro vývoj trvalých zubů. Vegetariánská strava bez doplňků může vést k slabším zubům. Doporučuje se doplnit vitamín B12 a D a pravidelně kontrolovat zuby u dětského stomatologa.

Podobné příspěvky