post-image
Lenka Vraná 0 Komentáře

Časovač na čištění zubů pro děti

2:00
Důležité tipy pro správné čištění

Proč 2 minuty? Čištění kratší než 2 minuty není dostatečné k odstranění plaku, který může ztvrdnout na zubní kámen. Děti často čistí jen 1-2 minuty, místo doporučených 2 minut.

Jak správně čistit? Vezměte si malý kartáček s jemnými vlákny a používejte malé množství pasty velikostí hrášku. Čistěte všechny zuby – přední, zadní i žvýkací plochy. Nezapomeňte na vnitřní strany zubů.

Proč je důležité večerní čištění? Během noci se sliny produkují méně, takže bakterie mají více času na škodlivou činnost. Večerní čištění je proto nejdůležitější.

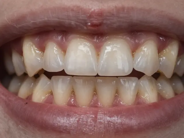
Zubní kámen u dětí není jen estetický problém. Je to známka neadekvátní ústní hygieny, která může vést k zánětům dásní, bolesti, ztrátě zubů a dokonce k problémům s jídlem a mluvením. Mnoho rodičů si myslí, že mléčné zuby nejsou důležité - ale to je velká chyba. Kámen se může tvořit už ve dvou letech, a pokud ho neodstraníte, může poškodit i trvalé zuby, které se ještě nevyvinuly pod dásní. Nejde o to, že dítě jí sladkosti - jde o to, jak často a jak dobře tyto zuby čistíte.

Co je vlastně zubní kámen?

Zubní kámen není něco, co se objeví náhodou. Je to tvrdý nános, který vzniká, když se plak - měkká, lepkavá vrstva bakterií - neodstraní během 24-48 hodin. Bakterie v plaku využívají cukry z jídla, vyrábějí kyselinu a postupně mineralizují svůj nános. Výsledek? Tvrdý, žlutý nebo hnědý nános, který se přilepí k zubům, obvykle u zubů u zátylku nebo u dolních řezáků. A nejde ho odstranit ani drsnou kartáčkem - potřebujete profesionální čištění.

U dětí je zubní kámen častější, protože:

  • Často neumí správně čistit zuby - chybí jim jemná motorika
  • Často jí sladké svačiny, šťávy nebo cukrovinky mezi jídly
  • Nejsou trpěliví při čištění - čistí jen 1-2 minuty, místo doporučených 2
  • Některé děti mají přirozeně více bakterií v ústech

První krok: Jak správně čistit zuby dítěti

Čištění zubů u dětí není o tom, kolikrát denně to uděláte - je to o tom, jak to uděláte. Od okamžiku, kdy první zoubek vykoukne, začínáte čistit. Nejprve používejte měkký hadřík nebo speciální kartáček pro novorozence. Od 12 měsíců používejte kartáček s malou hlavičkou a jemnými vlákny.

Co potřebujete:

  • Kartáček s jemnými vlákny (velikost odpovídající věku dítěte)
  • Zubní pasta s 1000-1450 ppm fluoru (pro děti od 2 let)
  • Malé množství pasty - velikost hrášku

Čistěte dvakrát denně - ráno a večer. Večerní čištění je nejdůležitější, protože během noci se sliny produkují méně a bakterie mají více času na škodlivou činnost.

Nechte dítě čistit zuby samo - ale pořád ho doplňte. Od 3 let může dítě čistit zuby samostatně, ale rodič musí udělat „finální čištění“ - přejít přes všechny zuby a odstranit zbytky plaku. Většina dětí to nezvládne dokonale do 7-8 let. Nenechte je jen na vlastních silách.

Co se stane, když zubní kámen neodstraníte?

Když se kámen neodstraní, začne poškozovat dásně. První příznak je zánět dásní - dásně jsou červené, při čištění krvácejí, dítě se stahuje, když se ho dotknete. To je gingivitida. U dětí to často vypadá jako „normální“, ale není to normální. Pokud se to nezastaví, bakterie proniknou hlouběji - poškodí vazivo, které drží zub v čelisti. Výsledek? Ztráta mléčného zubu, který měl být ještě 3 roky, a narušení prostoru pro trvalý zub.

Některé děti, které měly zubní kámen v dětství, pak mají v dospělosti větší riziko parodontitidy. Nejde o „nějaký problém“ - je to chronické poškození, které se může projevit až o 20 let později.

Která zubní pasta je nejlepší pro děti?

Není důležité, jestli je pasta s jablkem, banánem nebo medem - je důležité, kolik fluoru obsahuje. V České republice je doporučená koncentrace pro děti od 2 let 1000-1450 ppm fluoru. Není potřeba „dětská pasta“ bez fluoru - ta není účinná. Pokud máte dítě mladší než 2 roky, používejte pastu s 500-1000 ppm fluoru a jen špičku kartáčku.

Neplatí „čím více pasty, tím lépe“. Příliš mnoho pasty zvyšuje riziko fluorózy - bělavých skvrn na trvalých zubech. Stačí hrášek velikosti. Pokud dítě při čištění spolkuje pastu - není to problém, pokud je fluor ve správné dávce. Pokud spolkuje celé dětské množství (např. 10x více než je třeba), kontaktujte lékaře.

Vizualizace vývoje plaku v zubním kamenu: měkká vrstva bakterií se mění na tvrdý nános na zubech.

Co dělat, když dítě nechce čistit zuby?

Toto je nejčastější problém. Děti nechají čištění zubů jako „trest“. A co když se vzdorují? Neříkejte „musíš“, říkejte „děláme to spolu“.

  • Používejte kartáček s oblíbeným postavou - Mickey Mouse, Peppa Pig
  • Přeměňte to na hru - „Zachraňme zoubky před červíky!“
  • Čistěte spolu - dítě vidí, že i rodič čistí zuby
  • Používejte tajenku - „Kdo má nejčistší zoubky?“
  • Nechte dítě vybírat pastu - pokud má rádo chuť citronu, dejte mu citronovou pastu

Nikdy nepřinutujte. Pokud se dítě vzdoruje, zastavte se. Zkusíte to znovu za 10 minut. Pokud to trvá déle než týden, přijďte na poradu - může být příčinou bolest, zánět nebo psychický odpor.

Je potřeba chodit na profilaxi i když zuby vypadají v pořádku?

Ano. Děti by měly navštěvovat stomatologa poprvé do 12 měsíců nebo do 6 měsíců po vyrůstání prvního zoubku. Pak každých 6 měsíců. I když zuby vypadají čisté, stomatolog vidí věci, které rodič nevidí - skryté plaky, počáteční kazy, vývojové odchylky.

Na profilaxi se dětem:

  • Odstraní plak i kámen (pokud už vznikl)
  • Nanese se fluoridový lak - chrání zuby 6 měsíců
  • Učí se správné technice čištění
  • Obdrží individuální doporučení podle stravy a hygieny

Některé děti potřebují i sealanty - plastový povlak na žvýkací plochy molárů. To je bezbolestné, nezakládá se, a snižuje riziko kazu o 80 %.

Co jíst, aby se zubní kámen nevyskytoval?

Největší hrozbou není cukr - je to četnost jídla. Pokud dítě jí 10krát denně sladké svačiny, i když je to jen oříšek, kámen se tvoří. Bakterie potřebují 20 minut na to, aby z cukru vytvořily kyselinu. Pokud je dítě vždycky něco v ústech, kyselina neustále působí.

Co doporučit:

  • Nejlepší svačiny: sýr, jogurt, ovoce (celé, ne šťáva), ořechy, zelenina
  • Nejhorší: sladké nápoje, sušené ovoce (je lepkavé), zmrzlina, bonbóny, káva s cukrem
  • Po každé svačině dát dítěti vodu - to vymyje zbytek cukru
  • Nepoužívat láhev s cukrem nebo šťávou na noc - to je nejhorší, co můžete udělat

Nezapomeňte: i přirozený cukr v ovoce může přispívat k tvorbě plaku. Proto je důležité čistit zuby po každé svačině, ne jen po hlavním jídle.

Dítě se usmívá s čistými zuby, kolem něj plavou zdravé potraviny, zubní kámen padá jako odpad.

Když už se kámen objevil - co dělat?

Nezkoušejte ho odstranit doma. Žádný kartáček, ani speciální nástroj z internetu - to poškodí zubní sklovinu. Jediný bezpečný způsob je profesionální čištění u stomatologa.

Stomatolog použije ultrazvukový přístroj - bezbolestně, rychle, bez poškození. Pro děti je to často překvapení - nebojí se to, když to dělají v pohodě a s hrou. Po čištění se často nanáší fluoridový lak, který zabraňuje dalšímu nárustu.

Po odstranění kameně je důležité dodržovat přísnější hygienu - kámen se opět může tvořit za 2-3 měsíce, pokud se nečistí správně.

Co dělat, když dítě má zubní kámen a bolest?

Bolest znamená, že problém přesáhl jen kámen - je tam zánět, možná kávová dutina nebo infekce. Nenechte to. Přijďte na okamžitou návštěvu. Nečekat na „když to bude horší“. Dítě nemusí mluvit o bolesti - může jen nechápat jídlo, plakat, nechtít jít do školy.

Stomatolog provede rentgen, zkontroluje, zda je infekce u kořene, a rozhodne, zda je třeba léčit kámen, kávu nebo dokonce odstranit zub. V případě infekce může být nutné léčení antibiotiky - ale jen jako doplněk k odstranění příčiny.

Závěr: To nejde všechno udělat dokonale - ale jde to udělat lépe

Nikdo není dokonalý. Některé dny budete mít zápěstí, některé dny bude dítě unavené, některé dny budete mít jen 30 sekund na čištění. To je normální. Ale pokud každý den uděláte aspoň něco - i když jen 1 minutu - už to dělá rozdíl.

Zubní kámen není trest za špatné výchově - je to příležitost. Příležitost naučit dítě, že péče o tělo je součást života. A to je důležitější než čisté zuby. To je zvyk, který ho bude provázet celý život.

Může zubní kámen u dětí způsobit problémy s trvalými zuby?

Ano. Zubní kámen způsobuje zánět dásní, který může poškodit tkáň pod zubem. Pokud se to stane u mléčného zubu, může to narušit prostor pro trvalý zub, který se ještě vyvíjí pod dásní. To může vést k nesprávnému narůstání, zatlačování nebo dokonce k tomu, že trvalý zub vůbec nevyrůstne správně.

Je lepší používat elektrický kartáček pro dítě?

Elektrický kartáček může být užitečný, ale není nutný. Klíčové je, aby dítě čistilo dostatečně dlouho a správně. Některé elektrické kartáčky mají časovač a měkké štětce - to je výhoda. Ale pokud dítě má rádo ruční kartáček a čistí ho správně, není důvod ho měnit. Důležité je, aby se dítě nebo rodič nezaměřovali jen na technologii, ale na techniku.

Kdy by mělo dítě poprvé navštívit stomatologa?

Dítě by mělo navštívit stomatologa do 12 měsíců nebo do 6 měsíců po vyrůstání prvního zoubku. To není pro „kontrolu“, ale pro výuku - rodiče se naučí, jak správně čistit zuby, jak vybírat pastu a jak předcházet problémům. Dítě se zvykne na kliniku, což snižuje strach na budoucí návštěvy.

Může dítě mít zubní kámen i bez sladkostí?

Ano. Zubní kámen se tvoří z plaku, který vzniká z jakýchkoli sacharidů - i z škrobu v chlebu, rýži nebo bramborách. Pokud dítě jí často mezi jídly - i bez cukru - a nečistí zuby, plak se mineralizuje. Četnost jídla je důležitější než typ jídla.

Je bezpečné používat fluoridový lak u dětí?

Ano, je to bezpečné a doporučené. Fluoridový lak se nanáší jen na povrch zubů, ve velmi malém množství, a rychle se ztuhne. Dítě ho nezhltně - jen malá část se může spolknout. Studie ukazují, že fluoridový lak snižuje výskyt kazu u dětí o 30-40 %. V ČR se používá u dětí od 2 let jako standardní prevence.

Podobné příspěvky