post-image
Lenka Vraná 0 Komentáře

Zdraví zubů - ověřte, zda jste v pořádku

Ověřte zdraví svých zubů

Barva zubů sama o sobě neukazuje zdraví. Zdraví zubů se hodnotí na základě přítomnosti nebo absenci symptomů. Zadejte odpovědi na následující otázky a následně zjistíte, zda je váš zubní zdraví v pořádku.

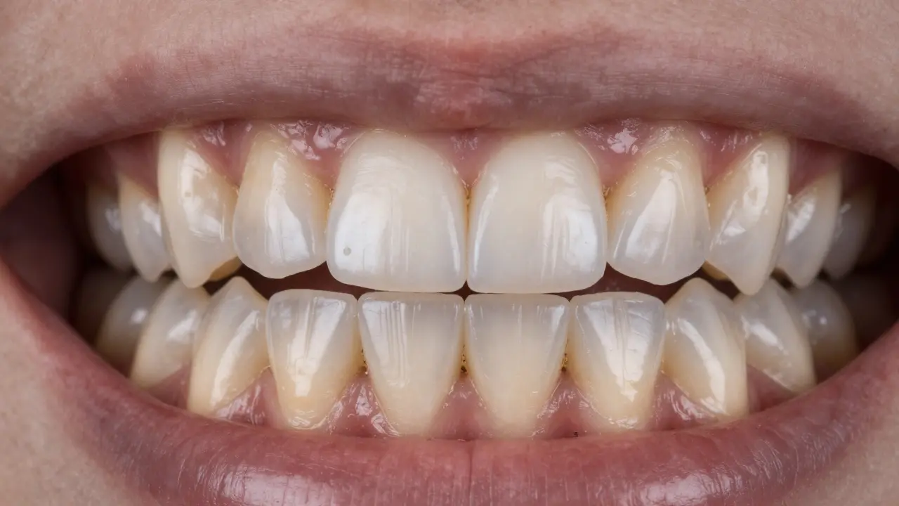
Většina lidí neví, že zdravé zuby nemusí být dokonale bílé. Je to úplně normální, že mají lehký žlutý nádech. Kvalita zubů se určuje na základě jiných faktorů.

Chcete mít bílé zuby? Třeba jako ty na reklamách? Ale co když vám váš zubní lékař řekne, že vaše zuby jsou v pořádku, i když nejsou zcela bílé? Mnoho lidí si myslí, že zdravé zuby musí být bílé jako sníh. To je nesprávné. Zdravá barva zubů není jedna konkrétní odstín - je to rozsah, který se liší od člověka k člověku.

Zuby nejsou sníh

Zuby nejsou jako papír. Nejsou navržené tak, aby byly bílé. Jejich přirozená barva je vlastně odstín bílého s lehkým žlutým, šedým nebo dokonce trochu šedozeleným nádechem. Proč? Protože zuby se skládají z několika vrstev. Nejvnitřnější je dentin - ten má přirozeně žlutavý odstín. Na něj se navléká sklovina, která je průhledná. Když sklovina ztenčí s věkem nebo kvůli špatné hygieně, vidíte víc dentinu - a zuby vypadají žlutěji. To není znamení špatného zdraví. To je jen přirozený proces.

Podívejte se na své rodiče nebo starší příbuzné. Mají zuby, které nejsou bílé. Ale pokud nebojí se bolesti, nekrvácejí dásně a nebojíte se, že by vám některý zub spadl, pak jsou zuby zdravé. Barva sama o sobě není ukazatel zdraví. Většina lidí si neuvědomuje, že i zuby, které jsou lehce žluté, mohou být absolutně zdravé.

Co ovlivňuje barvu zubů?

Několik věcí mění barvu zubů - a ne všechny jsou špatné:

  • Věk - s roky se sklovina přirozeně opotřebovává a dentin se projevuje více.
  • Strava - čaj, káva, červené víno, černý čaj, tmavé ovoce a některé omáčky mohou zuby pomalu zabarvovat.
  • Kouření - nikotin a smola se vážou na sklovinu a vytvářejí žluté nebo hnědé skvrny.
  • Léky - některé antibiotika, jako tetracyklin, mohou způsobit trvalé zabarvení, pokud se užívají v dětství.
  • Genetika - některé lidé mají přirozeně tlustší sklovinu, jiní tenčí. To ovlivňuje, jak moc je vidět dentin.
  • Hygiena - špatná čistota zubů vede k nánosům plaku a kamene, které mohou zuby ztmavit.

Některé z těchto příčin lze ovlivnit, jiné ne. Ale důležité je pochopit: zabarvení neznamená nemoc. Může to být jen estetická věc.

Je bílé zuby zdravější?

Ne. Bílé zuby neznamenají zdravější zuby. Můžete mít zuby, které jsou zcela bílé - ale mít karies pod sklovinou, nebo zánět dásní. Naopak: zuby, které jsou lehce žluté, mohou být pevné, bez plaku, bez kariés a s výbornými dásněmi.

Stomatologové neohodnocují zdraví zubů podle barvy. Hodnotí:

  • Stav dásní - krevníčky, otok, zánět
  • Stav skloviny - jsou tam erozie, trhliny, karies?
  • Stav zubního kamene - je nános, který může vést k zánětům?
  • Stav plaku - je jeho množství přiměřené?

Barva je poslední věc, kterou stomatolog bere v úvahu při hodnocení zdraví. Pokud vám řekne, že vaše zuby jsou v pořádku, ale nejsou bílé - věřte mu. To je zdraví. Ne estetika.

Vnitřní vrstvy zubu: průhledná sklovina a žlutý dentin s věkovým přechodem.

Co dělat, když chcete zuby bělit?

Pokud vás barva zubů trápí - a nejen proto, že si myslíte, že „musí být bílé“ - pak máte možnosti. Ale ne všechny jsou stejně bezpečné.

Profesionální bělení u stomatologa je nejbezpečnější cesta. Používají se koncentrované peroxidové přípravky, které se aplikují pod dohledem. Výsledek je vidět za několik týdnů, a nezničí sklovinu, pokud je postup správně proveden.

Domácí bělicí sady z lékárny mohou pomoci - ale jen mírně. Často obsahují nízkou koncentraci peroxidu a výsledek je slabý. Některé z nich dokonce poškozují sklovinu, pokud se používají příliš často.

Domácí „triky“ - jako baking soda, citron, kokosový olej - nejsou vědecky podložené. Baking soda může sklovinu poškodit, pokud ji používáte častěji než jednou týdně. Citron je kyselý - a kyselina ničí sklovinu. Kokosový olej (oil pulling) může pomoci s plakem, ale nezmění barvu zubů.

Nejlepší přístup: nechte si poradit stomatologa. Pokud máte zdravé zuby, ale chcete je zjasnit, pak profesionální bělení je nejbezpečnější volba. Pokud máte citlivé zuby nebo poškozenou sklovinu, bělení může být nevhodné.

Co je normální barva zubů podle věku?

Barva zubů se mění s věkem. To je normální:

  • Děti (6-12 let) - zuby jsou obvykle světlejší, sklovina je hustá, dentin je méně vidět. Barva: bílé s lehkým šedým nádechem.
  • Young adults (20-35 let) - zuby jsou ještě poměrně bílé, ale začínají být vidět první nánosy z kávy nebo čaje. Barva: bílá nebo lehce žlutavá.
  • 35-55 let - sklovina se tenčí, dentin se projevuje více. Barva: světle žlutá nebo šedozlutá. To je normální.
  • 55+ let - zuby se mohou zdát tmavší kvůli kombinaci opotřebení, nánosů a vlivu stravy. Barva: žlutá až šedohnědá. To je přirozené, ne nemoc.

Než začnete bělit zuby, zeptejte se: „Je to kvůli zdraví, nebo jen proto, že si myslím, že by měly být bílé?“

Kontrast mezi přirozeně zbarveným a uměle běleným zubem v zrcadle.

Co dělat, když se vaše zuby náhle ztmaví?

Pokud se barva zubů změní rychle - například během několika týdnů - pak to může být varovný signál:

  • Možná máte karies - zub se začíná rozkládat a ztmavuje zevnitř.
  • Možná máte zlomeninu zubu - krev nebo zánět se dostává do nitra zubu.
  • Možná je poškozená náplň nebo korunka - pod ní se může rozvíjet infekce.
  • Možná máte zánět dásní, který ovlivňuje krevní oběh v oblasti.

V takovém případě nečekejte. Jděte k stomatologovi. Rychlá změna barvy není estetický problém - to je potenciální zdravotní problém.

Závěr: Zdravé zuby nejsou bílé - jsou pevné

Zdravá barva zubů není jedna konkrétní barva. Je to rozsah - od světle bílé po lehce žlutavou. Pokud vaše zuby nebojí bolesti, nekrvácejí, nejsou křehké a nevypadají jako „rozpadající se“, pak jsou zdravé - i když nejsou bílé jako sníh.

Nechte si bělit zuby jen tehdy, když to chcete pro sebe, ne proto, že si myslíte, že „musíte“ mít bílé zuby. A pokud vás někdo přesvědčuje, že bílé zuby = zdravé zuby - řekněte si: to není pravda.

Zuby jsou jako kůže - každý má jiný odstín. A to je v pořádku.

Je normální, že mám žluté zuby?

Ano, je to naprosto normální. Přirozená barva zubů je často lehce žlutá, protože pod sklovinou je dentin, který má žlutý odstín. S věkem se sklovina tenčí a dentin se projevuje více. To neznamená, že máte špatnou hygienu nebo nemoc. Pokud nebojíte bolesti, dásně nekrvácejí a zuby nejsou křehké, vaše zuby jsou zdravé.

Může bělení poškodit zuby?

Ano, pokud se používá nesprávně. Agresivní domácí metody - jako baking soda, citron nebo příliš časté používání bělicích past - mohou poškodit sklovinu. Profesionální bělení u stomatologa je bezpečné, protože lékař kontroluje koncentraci a dobu expozice. Pokud máte citlivé zuby nebo poškozenou sklovinu, bělení může být nevhodné.

Proč se moje zuby ztmavily najednou?

Rychlá změna barvy - například během několika týdnů - může být příznakem problému. Může to být karies, zlomenina zubu, infekce pod náplní nebo zánět. Pokud si všimnete, že zuby náhle ztmavly, je důležité co nejdříve navštívit stomatologa. To není jen estetický problém - může to být zdravotní varování.

Je lepší mít bílé zuby nebo zdravé zuby?

Zdravé zuby jsou vždy lepší než bílé. Bílé zuby mohou být i poškozené - například s kariésí pod sklovinou nebo zánětem dásní. Zdravé zuby nekrvácejí, nebojí se bolesti, nejsou křehké a nemají zánět. Barva je sekundární. Pokud máte zdravé, ale lehce žluté zuby - máte to, co se dá chtít.

Jak dlouho trvá, než se zuby přirozeně ztmaví?

Zuby se přirozeně ztmavují postupně - během let. S věkem se sklovina tenčí, a dentin se projevuje více. K tomu přibývají nánosy z kávy, čaje nebo kouření. Většina lidí si všimne změny mezi 35 a 55 lety. To je normální. Neznamená to, že potřebujete bělení - jen pravidelnou hygienu a kontrolu u stomatologa.

Podobné příspěvky